Nossos Serviços

Nossos Serviços

Documentacao-ortodontica

Documentação Ortodôntica

É um conjunto de exames, solicitado pelo ortodontista, para auxílio de um correto diagnóstico e plano de tratamento, além de ser um registro importante da situação no início do tratamento.
A documentação básica é composta de:

  • Radiografia Panorâmica;
  • Telerradiografia ou Radiografia Cefalométrica;
  • Documentação Fotográfica;
  • Modelos de Estudo.
tomografia Computadorizada

Tomografia Computadorizada Volumétrica (Cone-Beam)

Exame de alta precisão, indicado para avaliação tridimensional das estruturas de interesse e permite uma identificação extremamente precisa da quantidade óssea para implantes, localização de dentes inclusos e corpos estranhos e a relação desses com outras estruturas como seio maxilar e nervo alveolar inferior, extensão e características de lesões patológicas e avaliação tridimensional da articulação têmporo mandibular.

Guias-prototipadas

Guias Cirúrgicas Prototipadas

Permitem intervenções sem cortes na gengiva do paciente, reduzindo consideravelmente os efeitos pós-operatórios.
A guia permite cirurgias mais precisas ao indicar os melhores pontos de inclinação e profundidade para perfuração e colocação de implantes.

Impressão 3D

Impressões 3D

Através de uma impressora 3D de alta resolução, imprimimos modelos de estudo, guias cirúrgicas e protótipos (modelos físicos da mandíbula ou maxilar).

radio-panoramica

Radiografia Panorâmica

A radiografia panorâmica possibilita a maior visualização do complexo maxilo-mandibular numa só tomada radiográfica.
Permite uma visão panorâmica e geral de interesse do cirurgião-dentista (dentes, ossos da face, articulação mandibular), auxiliando num diagnóstico mais completo.

traçado-panoramico

Traçado Panorâmico

Através de um traçado sobre a radiografia panorâmica das principais estruturas anatômicas de interesse cirúrgico, são realizadas medições das estruturas ósseas para planejamento preliminar da colocação de implantes.

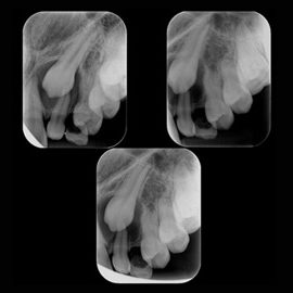
radiografia-periapical

Radiografia Periapical

Indicada para estudos individuais ou de grupos de dentes, proporcionando uma visão da anatomia dentária (coroa e raiz) e estruturas que circundam o dente (espaço articular, osso alveolar e demais estruturas anatômicas), com excelente resolução.

interproximal

Radiografia Interproximal (Bite-Wing)

Indicada para visualização mais precisa das coroas e nível ósseo alveolar dos dentes posteriores, para pesquisa de cáries interproximais, adaptação de coroas e restaurações e avaliação do nível ósseo alveolar.

Fotografia

Fotografias

A documentação fotográfica tem o objetivo de registrar, através de tomadas fotográficas, a face do paciente e os dentes em várias posições, e auxiliar no diagnóstico e plano de tratamento, mantendo um registro das condições iniciais dos pacientes.

modelos-de-estudo

Modelos de Estudo e Trabalho

São cópias das arcadas dentárias realizadas através de moldagens ou escaneamento dos arcos dentais e transformados em um modelo físico por impressão 3D ou gesso.

teleradiografia

Telerradiografia

Indicada para estudo e planejamento de tratamento ortodôntico ou cirurgia ortognática, para avaliar o padrão facial de perfil, crescimento e o desenvolvimento da face do paciente.

radiografia-carpal

Radiografia Carpal

Também é chamada de “Radiografia de mão e punho”. É indicada para diagnóstico da maturidade óssea da criança (idade fisiológica).

radiografia-oclusal

Radiografia Oclusal

É feita com o filme posicionado no plano oclusal do paciente, indicada para:

  • Avaliação do progresso de tratamentos ortopédicos (expansão palatina);
  • Visualização complementar de lesões patológicas;
  • Melhor visualização de posicionamento de dentes retidos;
  • Visualização de sialolitíases (cálculos no interior de glândulas salivares).
técnica-de-localização

Técnica de Localização Radiográfica

Técnica que através de incidências radiográficas em angulações diferentes, permite dissociar imagens de estruturas sobrepostas como dentes inclusos, corpos estranhos e dentes multiradiculares, indicando sua localização e avaliação do acesso cirúrgico.

Rolar para cima